Eskişehir'de şok operasyon: Midesinde 44 kapsül uyuşturucu taşıyan yabancı uyruklu şahıs yakalandı

Eskişehir'de polis, midesinde 44 kapsül metamfetamin taşıyan yabancı uyruklu bir şahsı yakalayarak uyuşturucunun piyasaya sürülmesini engelledi.
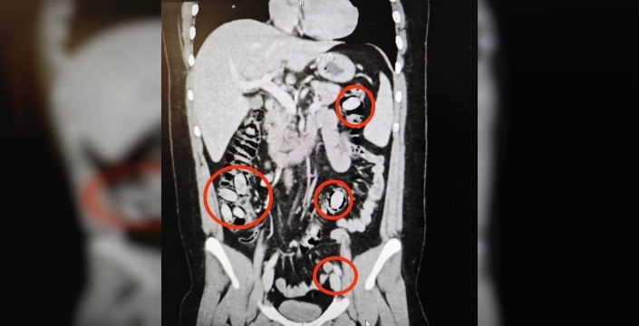
Eskişehir'de polisin dikkati sayesinde, midesinde 44 kapsül metamfetamin taşıyan yabancı uyruklu bir şahıs yakalandı. Şahıs, kent girişindeki çevirme noktasında durumundan şüphelenilmesi üzerine hastaneye götürüldü ve detaylı tetkikler sonucu uyuşturucu taşıdığı anlaşıldı.

AMELİYATLA UYUŞTURUCULAR ÇIKARILDI
Yapılan cerrahi müdahale ile şahsın midesinden 44 kapsül metamfetamin maddesi çıkarıldı. Tedavisinin ardından şahıs, mahkemece tutuklanarak cezaevine gönderildi. Bu operasyon, uyuşturucu maddelerin Eskişehir'de piyasaya sürülmeden ele geçirilmesini sağladı.

TİTİZ ÇALIŞMA SONUÇ VERDİ
Polisin titiz çalışması ve dikkati sayesinde, yurtdışından Eskişehir'e gelen S.A. (25) isimli şahsın uyuşturucu taşıma girişimi başarısız oldu. Operasyon, kentteki uyuşturucuyla mücadele çabalarına önemli bir katkı sağladı ve kamuoyunda güven artırıcı bir etki yarattı.
- 15:40Türkiye'nin 'Mavi Vatan' hamlesine Yunanistan'dan şok yanıt: Deniz parkları projesi masada!
- 15:33Kandıra'da yol yenileme ihalesi için geri sayım başladı
- 15:26Avustralya'dan dev proje: Milyonlarca insanın su sorunu kökten çözülüyor
- 15:19Yıldırım’da kurban alanlarında hijyen seferberliği sürüyor
- 15:12Japonya'dan gelen şok haber, küresel piyasaları tetikte bekletiyor: Para basma geri mi dönüyor?





