Avustralya'da devrim niteliğinde gelişme: Yapay deri, nadir cilt hastalıkları için umut oldu

Avustralya'daki bilim insanları, kök hücrelerden geliştirdikleri dünyanın en gelişmiş yapay derisini üretti.
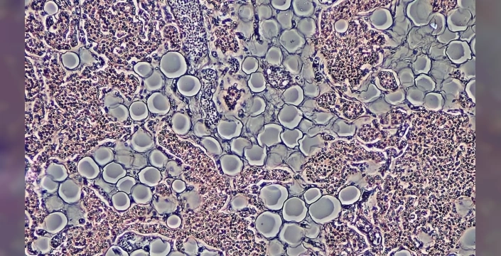
Avustralya'daki Queensland Üniversitesi Frazer Enstitüsü'nden bilim insanları, kök hücrelerden geliştirdikleri insan derisi kopyasında kan damarları, kıl kökleri, doku katmanları ve bağışıklık hücrelerini bir araya getirmeyi başardı. Bu yapay deri, dünyanın en gelişmiş insan derisi örneği olarak nitelendiriliyor ve nadir genetik cilt hastalıklarının incelenmesi ve yeni tedavilerin geliştirilmesi için kullanılabilecek.
LABORATUVAR ORTAMINDA ÜRETİLEN YAŞAM BENZERİ DERİ
Enstitü Direktörü Prof. Kiarash Khosrotehrani, altı yıllık bir çalışmanın ürünü olan bu deri organoidlerinin, cilt nakilleri, yara iyileşmesi ve cilt hastalıklarının araştırılmasında devrim yaratabileceğini belirtti. Khosrotehrani, bu çalışmanın, nadir görülen ve çocukları etkileyen birçok hastalık için yeni tedavi yöntemlerinin kapısını aralayacağını vurguladı. “Bu çalışma, nadir görülen ve çocukları etkileyen birçok hastalık için yeni tedavilerin kapısını aralayacak.” şeklinde konuştu.
HASTALIK ARAŞTIRMALARINDA ÇAĞ ATLATACAK GELİŞME
Araştırmada yer alan Dr. Abbas Shafiee, daha önceki cilt modellerinin yalnızca tek bir hücre tipinden oluştuğunu hatırlatarak, yeni modelin damar ve bağışıklık bileşenlerine sahip olmasının, hastalıkların laboratuvar ortamında incelenmesine ve ilaç geliştirilmesine büyük katkı sağlayacağını ifade etti. Bilim insanları, bu organoidlerin sedef, atopik dermatit ve skleroderma gibi yaygın cilt hastalıklarının yanı sıra çok daha nadir genetik rahatsızlıkların da araştırılmasında kullanılabileceğini düşünüyor. Ayrıca, geniş yanıklar, travmatik yaralar ve bazı ameliyatlarda kullanılan cilt nakillerinin geliştirilmesine de katkı sağlayabileceği belirtiliyor. Prof. Khosrotehrani, geliştirdikleri damar ve sinir içerikli yapay derinin, ileride nakil yapılan hastalara kıl, ter bezi ve his kazandırabileceğini de sözlerine ekledi. Güney Avustralya Üniversitesi’nden Prof. Allison Cowin ise, bu çalışmanın özellikle “kelebek hastalığı” olarak bilinen epidermolizis bülloza (EB) gibi nadir genetik hastalıkların tedavisi için önemli bir adım olabileceğini belirtti. Cowin, yeni modelin klinik denemeler için değerli bir basamak olabileceğini vurgulayarak, laboratuvardan insanlara uygulanabilir nakillere geçmenin çok karmaşık bir süreç olduğunu ve sonuçlar heyecan verici olsa da hastalara erken umut verilmemesi gerektiği konusunda uyardı.
- 11:33Reha Muhtar, Bodrum'da hastaneye kaldırıldı: Sağlık durumu ciddiyetini koruyor
- 11:26Samsun sahillerinde boğulma vakalarına karşı kritik uyarılar!
- 11:19JPMorgan, Türk lirasından yüzde 55 kâr elde ederek pozisyonunu kapattı
- 11:11Sahil Güvenlikten tekneye alkol baskını: Belgeler eksik çıktı, içkilere el konuldu
- 11:04Mersin'de tekstil iş yerindeki yangın, itfaiye ekiplerinin hızlı müdahalesiyle söndürüldü





