Yapay zekâ, Van'da kanser tedavisinde devrede: Hekimlerle %76 oranında örtüşen kararlar
- 4 / 1
Sağlık Bilimleri Üniversitesi (SBÜ) Van Bölge Eğitim ve Araştırma Hastanesi'nde gerçekleştirilen bir çalışmada, yapay zekâ destekli yazılım, multidisipliner tümör konseylerinde kullanıldı. Bu çalışma, prestijli uluslararası tıp dergisi Healthcare'de yayınlandı.
- 4 / 2
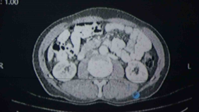
Çalışmada, genel cerrahi, onkoloji, radyoloji, nükleer tıp, radyasyon onkolojisi ve patoloji uzmanlarından oluşan konsey toplantılarına yapay zekâ entegre edildi. 100 kanser hastasının değerlendirilmesinde, yapay zekânın kararlarının hekimlerin kararlarıyla %76 oranında örtüştüğü gözlemlendi.
- 4 / 3
Erciş ilçesinde yaşayan 56 yaşındaki Sabri Sarıyıldız'ın tedavisinde yapay zekâ destekli yazılımın önerdiği tedavi planı uygulandı. Başarılı bir cerrahi operasyon sonrası Sarıyıldız sağlığına kavuştu. Van Bölge Eğitim ve Araştırma Hastanesi Genel Cerrahi Uzmanı Prof. Dr. Sebahattin Çelik, yapay zekânın sağlık alanında giderek yaygınlaştığını ve bu teknolojinin hastalara doğru tedaviyi sunmak için kullanıldığını vurguladı. Çalışmanın dünyada bir ilk olduğunu da sözlerine ekledi. Sarıyıldız ise, tedavi süreci ve başarılı operasyon hakkında olumlu değerlendirmelerde bulundu.
- 4 / 4
- 14:14Denizli'de forkliftin devrilmesi sonucu genç işçi hayatını kaybetti
- 14:05İzmir'de nefes kesen operasyon: 10 yıl hapis cezası olan firari uyuşturucu satıcısı yakalandı!
- 13:55Yumurta fiyatlarında büyük düşüş, üreticiler zor durumda
- 13:46Altınordu'nun kümede kalma savaşı: Önünde iki kritik final var!
- 13:36Muğla'nın kütüphanelerine büyük ilgi: 130 bin kitap ödünç alındı










